
Leica M205 A, M205 C,M165 C & M125C
體驗徠卡全新的立體顯微鏡,高性能的立體顯微鏡。
一步無限步驟
自從霍雷肖S.格里諾(Horatio S. Greenough)發明了體視顯微鏡,體視顯微鏡已根據主要基于阿貝的研究光學原理工作。一個多世紀以來,巧妙的光學設計師和工程師一直在努力推動的放大倍率,分辨率和圖像保真度由光學系統所允許的極限。這樣一來,他們一直受到限制的相互關系三個因素之間:高顯微鏡的分辨率,較低的可用工作距離。如果一個增加的光軸的距離,可見由觀察者的三維圖像變得扭曲立方體就變成一個塔,朝向觀察者的平坦表面的曲線。
打破傳統制造
Leica M205 A和M205 C是在世界上首次體視顯微鏡,可提供20.5:1的變焦。這個成就,但是,是不夠的徠卡的工程師。與新FusionOptics™,他們已經成功地將超越先前極限的又一步驟。除了更大的放大倍率的同時,也提高了分辨率,以1050lp/毫米,其對應于476nm的解析結構尺寸。
當然,這種性能的提高也反映在您的日常工作:建立標本與運動的自由,舒適的鏡表,發現以前未揭露,即使是在立體顯微鏡的詳細信息。
人類的大腦是一個令人著迷的作品。用它接收到來自雙眼的數據,它計算在一個unceas安泰流對環境的三維圖像。什么是真正了不起的,但是,是大腦的衡量依據接收到的信息,以迅雷不及掩耳之勢的情況,并做出適當的反應,以這種情況的能力。
腦退化與Leica M205 A和M205C
全新的徠卡M205 A和M205ç立體顯微鏡與FusionOptics™依靠大腦的無與倫比的適應性。顯微鏡分配不同的任務,以每兩束路徑:在右聲道中包含具有非常高的分辨率的圖像,而左聲道提供了非常高的景深。然后大腦會自動收集來自兩個源的信息,并使用它來編寫一個圖像的細節和景深非常高的豐富性。
Leica體視顯微鏡M125C M165 C M205 C M205 A
戲法增加腦容量
以前的研究認為,人類童年時期建立的大腦質量,通過培訓培養的神經網絡在青春期,中年時充其量只能保持這種復雜性,不可避免地會遇到減少心理的表現隨著年齡的增加。
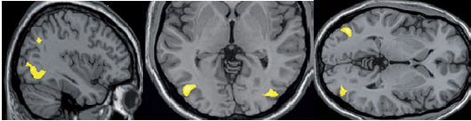
現在,率領雷根斯堡大學的博士阿恩·月的一項研究顯示,成人大腦的某些區域必須通過培訓,提高大腦物質的能力。在一群外行的誰練雜耍超過三個月,在大腦皮層結構變化的培訓期結束后進行鑒定。令人驚訝的是,無論形成主要是負責視覺和觸覺兩方面的新大腦。顯然,在雜耍困難在于目視捕獲和分析球的動向。
徠卡FusionOptics™將我們大腦的靈活性優勢,作為一個額外的好處,提高心理表現能力。

標記為黃色的區域是在新的大腦物質被證明已經創建了該地區。
徠卡M205 A:全自動立體顯微系統
隨著數字控制變焦,聚焦(用新的電動調焦驅動器)和可變光圈,徠卡DFC攝像頭,電動機械的載物臺,徠卡應用套件(LAS)的多功能軟件模塊,徠卡M205 A能夠接受任何設置以及執行預期的鼠標點擊幾下立體顯微鏡的任何分析。
當然,這將直接影響你的日常工作:經常使用顯微鏡的設置可以通過點擊幾下鼠標可以恢復的,耗時的系列檢查,比較大的標本,可一旦在計算機編程,然后可以允許自動運行時有必要的。
徠卡M205 C:提前進入秘境領域與FusionOptics。
不要緊,如果你需要大量的空間來處理標本或分析的微小的細節,這在以前是只檢測與光學顯微鏡作業面大:與非凡FusionOptics。變焦,徠卡顯微系統
已為體視顯微鏡的新標準。
什么,以前被認為是一種光學不可能,現在是現實,在徠卡M205 C的7.8×-160×的變焦范圍,從0.63×-5×,和一個巨大的配件選擇物鏡,使之成為一個系統,在雄偉執行任何應用。
徠卡新的M系列體視顯微鏡:一個方案適合每個任務
徠卡M165 C:對于那些誰希望繼續使用經典的立體顯微鏡工作的經典立體顯微鏡,徠卡M165 C等于幾乎每一個需要。兩個對稱信道的光學原理是一樣的徠卡MZ16的,但變焦范圍和數值孔徑已被增加至16.5:1。
當然,徠卡M165 C也與全系列攝像機,物鏡,觀察筒,底座和配件兼容。這不僅意味著你一定能找到一個配置解決方案,你現在幾乎所有的任務,但你也可以相信,你將永遠是能夠利用的徠卡M系列在未來的進展的優勢。

徠卡M125C:
一臺儀器用于許多任務高的性能并不總是最重要的要求:在許多常規情況下,你只需要在顯微鏡是非常艱難的,可靠的,并兼容多種附件。當然,一個特征是不能妥協:好的光學質量。
8×-100×的放大倍數范圍,徠卡M125C非常適合許多應用程序可能對你有用:從預分類的機械組件來分析塑料和印刷電路板的詳細檢查,徠卡M125C提供始終如一的好品質,你標本的詳細圖像。

高倍率非常符合人體工程學的好處
傳統的立體顯微鏡為用戶提供了一個選擇:他們必須選擇較高的分辨率和細節的豐富性,或者選擇一個更大的工作距離是能夠操縱的工作樣本。高顯微鏡的分辨率,少說免費客房有標本和物鏡間。
LEICA M205 A和M205 C使用11×物鏡提前進入放大倍率范圍,以前只能用高倍率的物鏡。這對你的日常工作,直接正面影響:Leica M205 A和M205 C能解決小于1微米的結構。同時,用戶的61.5毫米操縱標本的間隙。排序和處理,即使是小細節可以容易地進行,而不改變物鏡。
APO物鏡適合所有
為了利用這些新工具的性能優勢充分利用,所有新的M系列組件完全矯正復消色差的盟友。最后,色彩條紋可以一勞永逸成為歷史。
截至任務,讓我們來測試!
當人的生命可能會受到影響,技術必須100%可靠。出于這個原因,在飛機和在安全氣囊觸發機制的自動駕駛儀,例如,經受嚴格的材料試驗。該測試包括各種用于測量的標準物質樣品或熱學,機械和化學應力作用下完成的部分(組件測試)的行為和材料特性的方法。在測試過程中,材料的檢測純度,故障或負載能力。

隨著徠卡M205 A,M205 C,M165 C和M125C立體顯微鏡,專家們在材料測試實驗室可以深入到更小的結構。由于獨特的FusionOptics™系統在Leica M205 A和M205 C,對于第一次在立體顯微鏡,增加景深可以以更高的分辨率相結合。
與該被應用于涉及成像的所有組件的電子編碼,測試者可以消除與測量應用相關的誤差幾乎所有來源的,并且再現其檢測設置在任何時間。使用徠卡應用套件(LAS),您可以將圖像數據庫中讀出所有相關數據,存儲圖像和測量,并利用計算機對其進行分析。這兩個新的光源,LED5000 MCI。(多對比度照明)和LED5000 RL提供了一個廣泛的VARI - 調整和自動化選項ETY。隨著自動化機械的階段,新的M系列,它們構成一個完整的系統。這不僅有助于避免錯誤,這也節省了時間,由新徠卡M205 A,M205 C,M165 C和M125C所提供的最重要的優勢之一。
徠卡應用套件:大腦為您的數據集成的完整解決方案
徠卡應用套件(LAS)將自動顯微鏡,數碼相機,徠卡照明和軟件的一致性,用戶友好的成像無與倫比的高性能解決方案在單一環境。由于它的多功能性,徠卡應用套件可用于一個非常廣泛的應用。其廣泛的圖像處理功能,對LAS減少了所需的顯示,處理,測量和記錄數字圖像的時間。軟件監視器連接到該計算機,如立體顯微鏡,物鏡轉換,DFC相機,LED5000照明和電動交叉階段所有徠卡組件。如此得到的LAS被處理的數據;這樣做,所有已安裝的模塊相互通信。因此,阿盟是一個直觀的解決方案,使日常和研究分析更容易。
功能一覽:
– LAS通過整合顯微鏡,數碼相機和應用軟件,以便協調使用一個智能控制系統的成像任務提高了生產率。
– LAS自動化與徠卡顯微鏡的計算機輔助功能的數碼顯微鏡環境。
– 一個應用做的一切:記錄,存儲和評論;它也可以在縮略圖畫廊展示高質量的圖像。
– 高模塊化- 軟件,保持與你的工作節奏。
徠卡M205 A,M205 C,M165 C和M125C技術亮點
體視顯微鏡具有高放大倍率
– 20.5:1變焦可使用一臺儀器概述和詳細的觀察

徠卡M205 A的數字顯示器顯示,一目了然的所有基本設置
0.35數值孔徑(2×平場復消色差物鏡)
– 一對的一類1050lp分辨率/毫米實現結構小于分辨率 476nm
Leica體視顯微鏡M125C M165 C M205 C M205 A
剛性,堅固的機械結構
– 剛性,堅固的結構,支持高光學性能
– 詳細的解決方案,如集成電纜管道和電子的完全集成讓您的工作空間保持整潔

一種新的,非常穩定的聚焦專欄,確保高放大倍率的質量
編碼和電動部件
– M165 C / M205 C:放大倍率的連續電子讀出
– M205 A:放大倍率和光圈電動

儀器內部的編碼與我們聯系
齊焦物鏡物鏡轉換器
– 無需重新調整物鏡的變化
– 主要物鏡用戶自定義組合提供了巨大的應用范圍
– 編碼提供連續的配置信息到LAS

雙物鏡轉換器也符合適用于放大倍率范圍無需繁瑣的重新確定用途的高標準
模塊化
– 新徠卡M系列儀器可以與現有的許多系統組件相結合
– 選擇不同的物鏡,身高,照相機,照明光源等配件
– 好的解決方案是有保證的幾乎任何應用程序
完全集成的照明燈
– 新的照明組件無縫集成的完整系統
– 完整的控制和設置的重復性
– 尋找合適的照明設置為一個單元
– 完整的控制設置,手動或使用LAS

在LED5000-RL環光的新的,完全集成的照明組件中的一個,并且可以在設備本身上或經由徠卡應用套件完全控制
輕松的工作
– 三目鏡筒30°視角
– 三目鏡筒5°-45°的可視角度
– 大的舒適度不同的顯微鏡用戶

視場角為5°-45°可調為寬松的頭部位置可以
革命FusionOptics™(徠卡M205 C)
– 右通道與高分辨率
– 左通道與高景深
– 從兩個通道的信息結合起來,在腦中
– 無與倫比的分辨率,亮度和景深

徠卡M125與新的電動聚焦和LED5000 RL LED照明
屈光度增量
– 防止屈光校正意外的調整
– 可更換眼罩的衛生的高標準

在目鏡的鎖定系統可以防止無意中被改變屈光度補償
APO色校正光學系統
– 光學校正色差和平整度
– 當觀察無分心色條紋或扭曲,或記錄圖像分析

新平場消色差物鏡色防止接縫處,以及視場數23可以使標本的范圍更大
便捷的操作,在顯微鏡下
– 大工作距離為所有徠卡主要物鏡
– 訪問工作樣品
– 視場數23寬視場使試樣范圍更大

PlanApo1×:61.5毫米的工作距離的物鏡留下了很大的自由空間
- 關注微信公眾號 -
版權所有:北京儀光科技有限公司 備案號:京ICP備2021017793號