
ZYGO新型Verifire HDX激光干涉儀是為超高精度的光學元件和系統設計和制造的,可以獲得元件表面的中頻特征信息。系統包含現有Verifire HD的所有功能-比如QPSI和長壽命穩頻的激光器,并增加了重要的增強功能,如刷新行業水平的分辨率和成像能力,儀器傳遞函數(ITF)、出眾的中頻特征分析和大坡度表面測試,同時也兼具了ZYGO DynaPhase®系列動態采集技術,可以去除震動引起的問題并且能夠在近乎任何環境中精準計量。
特殊設計優化的分辨率和性能
Verifire HDX激光干涉儀系統具有全新的光學設計,經過嚴格設計,可為其所配的3.4kx 3.4k(1160萬像素)傳感器提供突破像素限制的性能,呈現增強的圖像,可以顯示出較低分辨率干涉儀難以辨識的表面特征。這種超高的空間分辨率不會以犧牲速度為代價,該系統在全分辨率下以幀率96 Hz運行,比其它高分辨率干涉儀速度快10倍,那些由于采樣速度較慢在采樣的時候會引入震動誤差從而測試能力受限。
功率譜密度(PSD)和衍射分析工具完善了Verifire HDX激光干涉儀系統的中頻特征分析能力,并通過簡單直觀的用戶界面來分析和報告綜合表面特性。
光學面形測試下的中頻特征分析
高質量的參考光學元件和配件
UltraFlat™和UltraSphere™超高精度透射平面和球面,面形可以達到λ/40 PVr或更高,并且嚴格控制PSD特征進行制造,以最優化中頻特征。推薦將這些高精度參考光學元件與Verifire HDX激光干涉儀一起配合使用,以完整實現和提升系統的性能。無論它們是被用于垂直構型還是水平構型,UltraFlat透射平板面形精度不變,從而在測試設置中提供更大的靈活性。
超高精度平面和球面透射元件
Mx™ 軟件
ZYGO自主設計研發的Mx™分析軟件提供強大的操作功能和完整的數據分析功能,包括Zernike,斜率,PSD / MTF / PSF,棱鏡角度,角錐以及更多。該軟件集儀器控制,數據采集和分析軟件包與一體,集成了制造過程控制,運行自動化和報告關鍵中頻特征等工具包。軟件操作界面簡單,直觀。它還包括了基于Python的腳本和遠程控制接口,以實現更大的靈活性并集成到復雜的測試設置中。
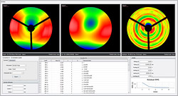
Mx軟件,澤尼克分析結果
很多年來,大家一直關注于光學元件表面的形狀誤差,但隨著對光學系統性能需求的增加,控制中頻特征(MSF)也變得同樣重要。對于一些極高性能應用,需要嚴格控制MSF特性以減少光散射并提高光學效率。
在校正形狀誤差方面非常有效的小工具確定性拋光技術也會將不期望得到的中頻特征賦予光學表面。根據表面特性的頻率和斜率,傳統的干涉儀系統-非常適合測量表面形狀-由于分辨率有限,無法測量和量化較高頻率的表面特性。分辨率的缺失意味著更高的頻率細節被過濾(見右圖),并且在測量結果中可能根本不顯示。
這是儀器傳輸函數(ITF)的所在。激光干涉儀系統由于其自身的設計(光學設計,相機,波長)會衰減和過濾部分表面信息,決定了該系統的ITF (測量光學表面的空間頻譜的能力)。Verifire HDX激光干涉儀系統具有高分辨率3.4k x 3.4k傳感器和優化的光學設計,具有比任何商業上可獲得的干涉儀系統更高的ITF,使其成為可靠測量和量化光學表面中頻特性的寶貴工具。這為光學設計師們提供了一種新能力,可以自信地指定光學表面到更高精度,并定義ITF測試要求來達到系統性能目標。
用特殊設計的臺階板測量到的相位數據,臺階板上刻有密集的40nm臺階,按不同頻率沿著徑向發散變化。
- 關注微信公眾號 -
版權所有:北京儀光科技有限公司 備案號:京ICP備2021017793號